An Ethical Analysis on CRISPR-Cas9 Technology
*This author wrote this paper for Biology 140: Gene Editing taught by Dr. Karen Kirk.
Use of Artificial Intelligence
For this paper, I used ChatGPT for several purposes. When breaking down my research articles for the application section, I used AI to clarify terminology and simplify some lab techniques. I also used AI to find the early study in 2013 for my mechanism portion of the paper. Lastly, I used ChatGPT as a writing support that checked over my grammar and sentence structure. I did not use AI to write any paragraphs; instead, I used it to achieve a more professional tone and a refined style throughout my paper.
Introduction
What if we could disarm cancer at the genetic level before it has the chance to take over? In recent years, CRISPR technology has made the unimaginable within reach. Scientists have unlocked the genetic code that underlies every living organism on Earth, and with it, new possibilities for precise genetic manipulation. Originally discovered as a component of a bacterial adaptive immune system, CRISPR-Cas9 has been repurposed as a groundbreaking tool that can cut and edit DNA with unprecedented accuracy and efficiency.
With this powerful mechanism, the alteration or deletion of just a few nucleotides can disrupt or repair gene function, leading to profound effects on protein synthesis, cell behavior, and ultimately, the development or suppression of disease. Such capabilities are particularly transformative in oncological studies, where researchers are leveraging CRISPR to uncover new targets for cancer therapy and enhance the immune system’s ability to recognize and destroy tumors. This paper explores the application of CRISPR-Cas9 to achieve gene knockouts in advancing oncology—particularly in developing cancer immunotherapies—while also addressing the ethical challenges arising from its use, including concerns about germline editing.
Mechanism of CRISPR
Bacteria and archaea have existed on Earth for over 3.5 billion years, living in all types of environments you could imagine (Doudna, 2022). These single-celled organisms can dominate and exponentially grow their populations, evolving specialized defences against their predators. Bacteriophages are viruses that infect bacteria; during infection, the bacterial cell is killed. In nature, there are 10 times as many phages as bacteria, so a defense system against these viruses is crucial for bacterial organisms. A variety of methods to block phage attacks are used, but the CRISPR system is unique to these bacteria. Clustered Regularly Interspaced Short Palindromic Repeats, otherwise known as CRISPR, is the immune system these single-celled organisms have evolved to use. Researchers have found CRISPR to work with different Cas proteins, with the most common system being CRISPR-Cas9 (Doudna, 2022).
To break this down step by step, we can start with a virus invading the bacteria (Doudna, 2017). The bacterial cell will then capture pieces of foreign DNA from the attacking phage as a memory and then store them in its own genome. These “memories” are called “spacers,” and over time, they make up the CRISPR region. This process helps the bacteria recognize future attacks against the cell. So, in the case that the virus attacks the bacteria again, the CRISPR region is transcribed into an RNA molecule that gets cut into smaller segments called CRISPR RNA (crRNA). Each crRNA will contain a different spacer that correlates to a past virus. A helper RNA known as trans-activating RNA or tracrRNA pairs up with crRNA to form the guide RNA. This guide RNA binds to the Cas9 protein to form a complex that is able to search-and-destroy foreign DNA. The key to having this Cas9 complex recognize target DNA is the presence of a Protospacer Adjacent Motif (PAM). The PAM site consists of three nucleotides: usually one nucleotide followed by the two bases “GG,” which is then placed right next to the target DNA sequence. Potential cut sites are located three base pairs upstream of the PAM (Doudna, 2017).

Figure 1. Note. This diagram illustrates the CRISPR-Cas9 gene-editing system, showing the Cas9 protein, the single-guide RNA (crRNA + tracrRNA), the target DNA sequence, the PAM site, and the cut sites introduced by Cas9. Drawn by: Yulia Mercado
A group of scientists, including Jennifer Doudna and Emmanuelle Charpentier, collaborated to transform the CRISPR-Cas9 bacterial immune system into a gene-editing tool. Their revolutionary paper, “A programmable Dual-RNA-guided DNA endonuclease in adaptive bacterial immunity,” published in 2012, illustrates how a combined RNA structure can guide the Cas9 protein. The previously separate crRNA and tracrRNA have now been successfully merged into a single guided RNA strand (sgRNA).

Figure 2. Note. Figure 5D from “A programmable dual RNA-guided DNA endonuclease in adaptive bacterial immunity”.
Figure 2 demonstrates the sgRNA working with Cas9 to induce a double-stranded break in the target DNA (Doudna et al., 2012). The researchers engineered five chimeric guide RNAs targeting a portion of the green fluorescent protein (GFP) gene to determine whether the sgRNA design would be universally applicable. To experimentally test this, researchers conducted agarose gel electrophoresis, with each lane containing a sample of the Cas9 protein complexed with a different chimeric RNA. Figure 2 shows the five GFP-containing plasmid lanes with dark bands at 7400 base pairs and then lighter bands of DNA at 3700 base pairs. All five experimental lanes showed that Cas9 programmed with the chimeric RNA successfully cleaved the target DNA. This study validated the suggestion that single guide RNA strands can efficiently direct the Cas protein to the target DNA site and edit the gene (Doudna et al., 2012).
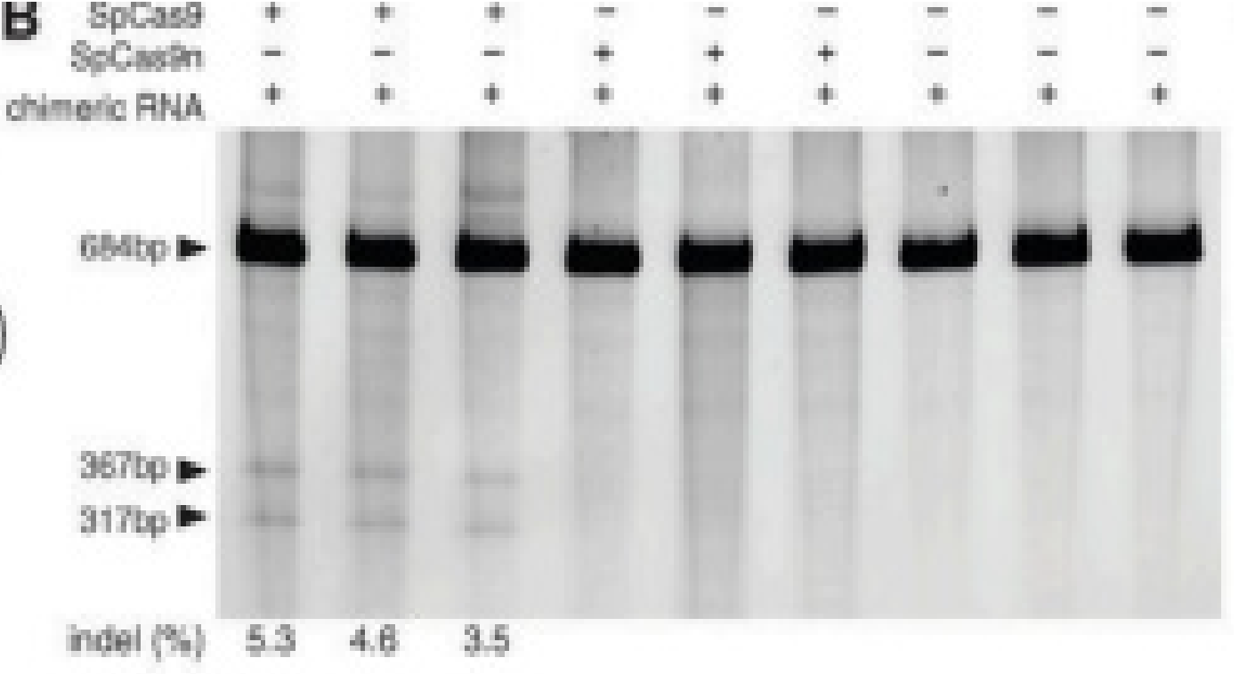
To elaborate on that, the 2013 study “Multiplex Genome Engineering Using CRISPR/Cas Systems” introduces mammalian cells and uses CRISPR to conduct genome editing(Cong et al., 2013). This experment involved the chimeric RNA targeting the EMX1 gene in human cells. This particular gene has been linked to brain development and tumor suppression. Two different CRISPR/Cas9 variants were used: SpCas9 and SpCasn. SpCas9 is the traditional Cas protein that induces double-stranded breaks in the DNA, leading to insertions or deletions at the target site. SpCasn is the “nickase” version of Cas9, because it will cut one strand of DNA instead of two. This will usually result in a less efficient mutation, as only one strand will be repaired rather than both being repaired after SpCas9 cleaves. Figure 3 shows an agarose gel electrophoresis with clear cleavage in the lanes with SpCas9 but not in the lanes with SpCas9n. The percent indel in the first three lanes ranges from 3% to 5% with the DNA being cut from 684 base pairs to around 300 base pairs. This study successfully harnessed the RNA-guided functions of Cas9 to enable targeted gene editing in mammalian cells. This new possibility reveals the potential of CRISPR use in medicine, disease, and other applicable fields (Cong et al., 2013).

Figure 3. Note: Figure 4B from “Multiplex Genome Engineering Using CRISPR/Cas Systems”. This diagram shows that coexpression of an EMX1-targeting chimeric RNA with SpCas9 results in indels, whereas SpCas9n does not.
Application of CRISPR
Triple-negative breast cancer (TNBC) is an aggressive type of breast cancer that is characterized by the exclusion of two hormone receptors (Sharma, 2016). The cancer cells lack estrogen and progesterone receptors, eliminating hormone therapies as a possible cancer treatment. Another characteristic of TNBC is the lack of the HER2 protein. The HER2 protein plays a crucial role in cell growth, so underexpression or absence of this protein leads to affected growth of malignant cells. In HER2-positive breast cancer, a distinct subset of the disease, the HER2 protein is overexpressed on the surfaces of malignant cells, and anti-HER2 therapies are used to treat this breast cancer. Anti-HER2 therapies are ineffective in TNBC due to the absence of HER2 expression, underscoring the urgent need for alternative treatment strategies to address the challenges TNBC poses. To address this, researchers are interested in figuring out which genes help TNBC cancer cells escape the immune system and continue to proliferate (Sharma, 2016).
The attacking cells of the immune system are called T cells, and they are equipped with receptors that recognize antigens. In a healthy individual, cytotoxic T cells will kill harmful cells, and the immune system will function normally. In an individual with cancer, such as TNBC, the cancerous cells can bypass the immune system’s “security” and take over the microenvironment. Three studies conducted in the past five years have used CRISPR gene editing to identify potential immune system targets that could lead to greater success in TNBC treatments.
In the study “In vivo multidimensional CRISPR screens identify Lgals2 as an immunotherapy target in triple-negative breast cancer,” the researchers sought to identify genes in triple-negative breast cancer that help tumors evade the immune system, with the ultimate goal of identifying new immunotherapy targets (Ji et al., 2022). In-vivo CRISPR screening is a powerful application that allows scientists to knock out specific genes in cancer cells to see how tumor growth is affected. To identify immune-related genes that contribute to tumor survival, the researchers constructed a DrIM (disease-related immune gene) sgRNA library. This curated collection of single-guide RNAs was designed to target hundreds of immune-associated genes for CRISPR-Cas9 knockout. Inside each cancer cell, the sgRNA directs the Cas9 endonuclease to its matching DNA sequence, where Cas9 introduces a double-stranded break. The cell attempts to repair this break through non-homologous end joining (NHEJ)—a repair process prone to errors. These errors, in the form of insertions or deletions (indels), which frequently disrupt the gene’s function, effectively knocking it out.
After the gene knockouts were introduced, researchers implanted the genetically engineered TNBC cells into the mammary fat pads of mice and allowed the tumors to grow for 14 days. Following this period, the mice were euthanized, and the tumor tissues were harvested. These cancerous tissues were then analyzed using Next-Generation Sequencing (NGS) to identify the effects of the gene knockouts on tumor progression. This modern, highly efficient method can simultaneously sequence millions of small RNA fragments, which scientists can then use to observe how gene knockouts affect the expression of specific genes. By observing the tissue samples with reduced tumor growth, researchers could identify which gene knockouts led to the reduction. One key gene found through this screening process was Lgals2, which has since been recognized as a contributor to immune evasion and tumor progression in triple-negative breast cancer. In this example, using CRISPR-Cas9 to knock out Lgals2 would improve the immune response in a TNBC patient (Ji et al., 2022).
Meanwhile, the study “In vivo CRISPR screens identify the E3 ligase Cop1 as a modulator of macrophage infiltration and cancer immunotherapy target” addressed that some tumors can resist immune checkpoint blockades (ICB), which is a form of cancer immunotherapy designed to help T cells kill cancerous cells (Wang et al., 2021). The scientist’s goal was to identify genes that regulate how the immune system interacts with these tumors, and whether inhibiting those genes positively impacts the microenvironment. Similar to the last study, an in vivo CRISPR screen in mice was done to see the immune response after specific gene knockouts. For their experiment, researchers engineered cancer cells using plasmids that carried different variants of the ovalbumin (OVA) gene. The OVA gene, which encodes a protein found in egg whites, is frequently used in cancer immunology as a model antigen.
This model antigen acts as a molecular “tag” that allows scientists to monitor how T cells recognize and respond to tumor cells. Using a molecular biology method called Gibson Assembly, scientists could join multiple DNA fragments together. This enabled them to prepare the OVA gene fragments to have overlapping end sequences with another genetic plasmid called lentiCRISPR-V2-blast vector. The lentiCRISPR-V2-blast vector is a lentivirus system that uses a type of retrovirus to deliver genetic material into desired cells. Now that the scientists have created the lentiviral vectors needed for carrying out targeted gene edits, they are used to infect the TNBC cells from mice in vitro.
These modified cancer cells were implanted into mice, and tumors were allowed to grow in normal mice and immunodeficient mice. By comparing which gene knockouts lead to enriched or depleted tumors in each group, they identified genes (like Cop1) that influence how cancerous cells interact with the immune system. The Cop1 gene, when “silenced,” resulted in depleted tumor growth, suggesting a promising gene target for immunotherapy in triple-negative breast cancer (Wang et al., 2021).
Finally, in the study “In vivo CRISPR screens identify Mga as an immunotherapy target in triple-negative breast cancer,” researchers used CRISPR-Cas9 to knock out specific genes throughout the entire genome of cancer cells in order to identify tumor-intrinsic regulators that influence immune responses (Feng et al., 2024). The in vivo CRISPR screening method started with obtaining tumor cell lines from the mouse models. The Cas9-expressing tumor cells were infected with lentiviruses that carried the guide RNA and CRISPR so that CRISPR-Cas9 could take effect. After tumors grew for one week, DNA was taken from the cancerous tissue and used to determine which sgRNA was still present. Depleted tumor growth meant that knocking out that specific gene helped fight the cancer, while an enriched tumor growth suggested avoiding knocking out that gene. It was found that the Mga gene significantly depleted tumor growth when knocked out and therefore has the potential to contribute to a successful immunotherapy treatment for TNBC (Feng et al., 2024).
All three studies shared commonalities in their use of CRISPR-Cas9 for in vivo screening to advance cancer immunotherapy. Cas9’s high efficiency and broad PAM recognition made it the most practical editing tool. Researchers were able to encompass a wide variety of cancer-related genes and use CRISPR to systematically disable them. The choice to use mice as model organisms was consistent across the studies due to their genetic and physiological similarities to humans. This allowed researchers to observe gene knockouts in a realistic biological context, making the findings more applicable to human cancer treatment.
Ethics of CRISPR
Germline editing refers to the alteration of DNA in reproductive cells or early embryos. This raises a profound ethical dilemma, as any genetic alterations made are not confined to one individual but are instead passed down to every future generation. For patients burdened with genetic diseases, the ability to spare future children from inherited suffering feels like a miraculous opportunity—one that brings hope. And truly, if given the chance to erase pain from your family’s legacy, wouldn’t you feel a moral responsibility to act?
From a physician’s perspective, germline editing is seen as unpredictable in the long term and ethically too risky. Doctors are more inclined to approve gene editing in somatic cells, like skin cells, as these are not inherited, but changing something that takes effect for generations after is a whole different story. On the other hand, from a patient’s or parent’s perspective, gene editing may be seen as a beacon of hope—the only way to break the cycle of inherited disease. Many families struggle to afford the long-term medical costs that accompany chronic illness, and the promise of a permanent solution through genetic intervention offers both emotional and financial relief. Policymakers would have the challenging task of balancing the ethical concerns, the potential for medical breakthroughs, and public health implications. They would focus on establishing laws and regulations for safety, advocating for global compliance, and making sure there is equity in access to germline editing.
While germline editing offers hope to future generations and the potential to save lives, I believe germline editing should not be permitted at this moment in time. There are several issues still unresolved that suggest more work needs to be done before allowing CRISPR in reproductive cells. To name a few, there is a lack of consent from editing embryos, the genetic edits done would be irreversible, and there should be a clear understanding of the distinction between treatments and enhancements before proceeding any further.
In Part 7 of The Code Breaker (Isaacson, 2021), the distinction between treatment and enhancement is considered, and valid points are raised. Isaacson says, “Genes might predispose or predetermine certain kids to be short or obese or have attention deficits or be depressive. At what point do genetic modifications to fix such traits cross the line from health treatment to enhancement?” (Isaacson, 2021). I support future germline editing that alters health diseases or conditions, but not cosmetic preferences. It is integral to honor our natural appearance and characteristics, which, unless it interferes with daily living, does not qualify for the use of CRISPR. Not only would it create societal gaps between the wealthy and the poor, but it would also open the door to dangerous procedures performed for cosmetic reasons.
There is also the risk that if germline editing were made available to all, it would be improperly used. When Isaacson discussed a hypothetical situation in which a parent picks and chooses heritable genes for their child, it seemed too easy and accessible to quickly request a handful of desirable traits. “ Without any gates or flags, we might all go barreling down at uncontrollable speed, taking society’s diversity and the human genome along with us.” (Isaacson, 2021). To avoid all these possible implications, I believe it is necessary to continue the topic on regulations that can be implemented if germline editing exists and have a plan for strong scientific oversight with this ethical consideration.
Conclusion
CRISPR-Cas9 has proven to be a groundbreaking tool capable of altering nature itself, offering the potential to cure diseases and transform medicine. What started as a bacterial immune defense got revolutionized into arguably the most powerful gene-editing tool known to man. Currently, 80% of patients with triple-negative breast cancer have no good option for therapy (Wofford, 2024). The application of in vivo CRISPR screens in model organisms, such as mice, demonstrated successful reduction of TNBC tumors, promising new avenues for targeted cancer immunotherapies.
The identification of the Lgals2, Mga, and Cop1 genes plays a major role in uncovering targets to enhance the effectiveness of cancer immunotherapies. Without disrupting the function of these genes using CRISPR-Cas9, their implications on immune regulation would remain unknown; for instance, in the case of Lgals2, continued signaling promotes macrophage recruitment that protects and sustains tumor growth. But with knowledge of the depletion of tumor growth when Lgals2 is knocked out, carefully curated immunotherapies can be developed to inhibit its expression and enhance anti-tumor immune responses.
Looking ahead, CRISPR holds immense potential to revolutionize medicine and our understanding of biology. However, as its capabilities expand, so does the need for careful ethical oversight. Balancing scientific advancement and ethical responsibility will require global collaboration, strict regulations, and a commitment to using gene-editing technologies to alleviate suffering rather than to enhance traits for non-medical purposes. In the case of germline editing, the stakes are even higher with possible off-target effects that cause more harm than good in future generations. Upholding ethical standards while embracing innovation will be key to ensuring CRISPR’s future serves humanity responsibly.
Note: Eukaryon is published by students at Lake Forest College, who are solely responsible for its content. This views expressed in Eukaryon do not necessarily reflect those of the College. Articles published within Eukaryon should not be cited in bibliographies. Material contained herein should be treated as personal communication and should be cited as such only within the consent of the author.
References
Cong, L., Ran, F. A., Cox, D., Lin, S., Barretto, R., Habib, N., ... & Zhang, F. (2013). Multiplex genome engineering using CRISPR/Cas systems. Science, 339(6121), 819–823.
Doudna, J.A. (2022) CRISPR in Nature. In M.L. Hochstrasser et al. (Eds.) CRISPRpedia. Berkeley: Innovative Genomics Institute, University of California, Berkeley. Retrieved from: https://innovativegenomics.org/crisprpedia/crispr-in-nature/
Doudna, J. A., & Sternberg, S. H. (2018). A crack in creation: Gene editing and the Unthinkable Power To Control Evolution. Boston: Mariner.
Feng, X., Yang, C., Huang, Y., Su, D., Wang, C., Wilson, L. L., Yin, L., Tang, M., Li, S., Chen, Z., Zhu, D., Wang, S., Zhang, S., Zhang, J., Zhang, H., Nie, L., Huang, M., Park, J. I., Hart, T., Jiang, D., … Chen, J. (2024). In vivo CRISPR screens identify Mga as an immunotherapy target in triple-negative breast cancer. Proceedings of the National Academy of Sciences of the United States of America, 121(39), e2406325121. https://doi.org/10.1073/pnas.2406325121
Isaacson, W. (2021). Part Seven: The Moral Questions, The code breaker: Jennifer doudna, gene editing, and the future of the human race. Simon & Schuster (pp. 322-358). ProQuest Ebook Central.
Ji, P., Gong, Y., Jin, M. L., Wu, H. L., Guo, L. W., Pei, Y. C., Chai, W. J., Jiang, Y. Z., Liu, Y., Ma, X. Y., Di, G. H., Hu, X., & Shao, Z. M. (2022). In vivo multidimensional CRISPR screens identify Lgals2 as an immunotherapy target in triple-negative breast cancer. Science advances, 8(26), eabl8247. https://doi.org/10.1126/sciadv.abl8247
Jinek M; Chylinski K; Fonfara I; Hauer M; Doudna JA; et al. A programmable dual-RNA-guided DNA endonuclease in adaptive bacterial immunity. Retrieved from https://pubmed.ncbi.nlm.nih.gov/22745249/
Sharma P. (2016). Biology and Management of Patients With Triple-Negative Breast Cancer. The oncologist, 21(9), 1050–1062. https://doi.org/10.1634/theoncologist.2016-0067
Wang, X., Tokheim, C., Gu, S. S., Wang, B., Tang, Q., Li, Y., Traugh, N., Zeng, Z., Zhang, Y., Li, Z., Zhang, B., Fu, J., Xiao, T., Li, W., Meyer, C. A., Chu, J., Jiang, P., Cejas, P., Lim, K., Long, H., … Liu, X. S. (2021). In vivo CRISPR screens identify the E3 ligase Cop1 as a modulator of macrophage infiltration and cancer immunotherapy target. Cell, 184(21), 5357–5374.e22. https://doi.org/10.1016/j.cell.2021.09.006
Wofford W, Kim J, Kim D, Janneh AH, Lee HG, et al. Alterations of ceramide synthesis induce PD-L1 internalization and signaling to regulate tumor metastasis and immunotherapy response. Cell Rep. 2024 Aug 27;43(8):114532. doi: 10.1016/j.celrep.2024.114532.